Welcome to Tierrasanta Plaza Dentistry. We are pleased to provide you the high-quality dentistry
that you deserve. Tierrasanta Plaza Dentistry offers exceptional patient care, a wide range of
dental services, and state-of-the-art equipment.
Your smile is often the first thing a person notices about you, so what can you do to protect such an important asset? General dentistry provides the first line of defense against oral health problems. The dentist is the primary care provider for patients of all ages and maintains the ability to prevent, diagnose and treat a variety of dental conditions. Whether you are coming in for a dental cleaning or gum disease treatment, your dentist provides general dentistry services to meet your growing needs.
Our families mean the world to us, so why not ensure their health is taken care of? In order to remain healthy and happy, it is important to take care of your oral health, too. To help your entire family maintain healthy, glowing smiles, it is important to visit your family dentist at least twice a year.
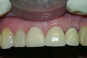
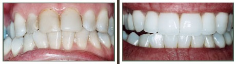
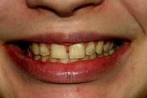
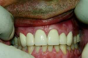
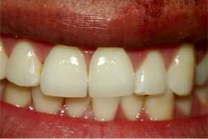
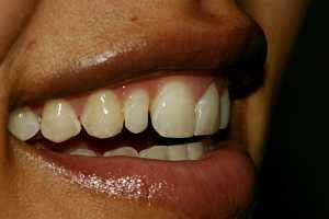
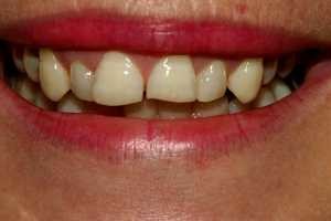
Have you ever found yourself looking in the mirror and wishing your smile was better looking? Don’t worry if you have, we’ve all been there before. To help you love your smile again, we offer cosmetic dentistry in San Diego.
Dental emergencies can catch you off-guard, but they should never be ignored. Ignoring a dental emergency might increase the risk of permanent damage or the need for expensive treatments. The golden rule is to see the dentist within thirty minutes or less to save on your tooth or prevent other complications.
Fear of visiting the dentist is quite common. There are many people who would prefer to live in discomfort and pain instead of visiting the dentist for treatment.